KERTYOL PSO
Balsamo quotidiano
Il balsamo KERTYOL PSO è un trattamento quotidiano specialmente indicato per la pelle dei pazienti che soffrono di psoriasi.
I suoi principi attivi innovativi agiscono in modo mirato sui fattori coinvolti nella fisiopatologia della psoriasi.
Può essere utilizzato in combinazione Può essere utilizzato in associazione o in alternanza ai trattamenti farmacologici per distanziare gli episodi di riacutizzazione
-
Per chi?A partire dai 12 anniAdolescenti e adulti
-
Formato200ml400ml
-
TextureProfumo gradevole, texture leggeraUna consistenza fondente che si assorbe rapidamente consentendo di vestirsi subito, senza il rischio di appiccicare o macchiare i vestiti
Relazione con il paziente
-
Consigli per l'applicazione
1 volta al giorno, il mattino, su corpo e viso, sulle lesioni e sulle zone non colpite.
Non utilizzare sulle mucose (psoriasi genitale).
Non indicato per la psoriasi delle pieghe (inversa).
-
In combinazione con i seguenti trattamenti
Trattamenti topici (da applicare la sera):- Cortisoni topici (betametasone, idrocortisone, metilprednisolone, clobetasolo, fluocinolone)- Combinazione di vitamina D3 e di cortisoni topici (calcipotriolo + betametasone).- Analogo della vitamina D3 (calcipotriolo, calcitriolo).Trattamenti sistemici: Acitretina, Influximab (anti TNF-α), Etanercept (anti TNF-α), Ixecizumab (anti IL-17), fototerapia, ecc.
Ingredienti
Principi attivi:

Il Celastrolo è il primo attivo innovativo frutto della biotecnologia Pierre Fabre (tecnica di estrazione brevettata), 100% di origine naturale e prodotto tramite coltura di cellule vegetali.

Principio attivo estratto dalla radice di cicoria, Cichorium intybus, ricca di frutto-oligosaccaridi. Induce la neosintesi del recettore VDR (recettore della vitamina D), conferendogli un'attività vitamina D-Like.

Il polidocanolo (o Laureth-9) si presenta sotto forma di liquido sciropposo, trasparente. È noto per la sua attività antipruriginosa.

Principio attivo nutriente che favorisce il ripristino del film idrolipidico cutaneo.
Dettagli della formula:
Clicca su un tipo di ingrediente per evidenziarlo nell'elenco
Risultati clinici e pubblicazioni
Risultati di tollerabilità
Eccellente tollerabilità cutanea (1).
Eccellente tollerabilità in associazione con altri trattamenti (2).
Risultati di efficacia
l prurito già dopo 8 giorni (3)
la xerosi già dopo 8 giorni (4)
Miglioramento della qualità di vita (5)
(6)
Informazioni legali
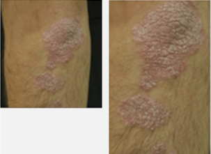
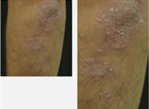
Studio clinico di tollerabilità e di efficacia condotto su 43 soggetti adulti con psoriasi sul corpo da lieve a moderata.
(1) Tollerabilità cutanea valutata dagli sperimentatori.
(2) Studio clinico di tollerabilità in combinazione con trattamenti (topici, fototerapici, orali, bioterapici) in 51 soggetti adulti con psoriasi sul corpo.
Tollerabilità cutanea valutata dagli sperimentatori.
(3) Valutazione dell’intensità del prurito da parte dei soggetti all’8° giorno.
(4) Punteggio di xerosi valutato dai medici sperimentatori all’8° giorno.
(5) Questionario paziente PRO all’8° giorno.
(6) Cinetica d’idratazione 6 ore dopo una singola applicazione in 22 soggetti adulti
Volete continuare a leggere?
Questo accesso è riservato ai professionisti, registrati su Pierre Fabre For Med.
Per accedere al contenuto completo, si prega di registrarsi o di effettuare il login se si dispone già di un account.



